Skip to content Skip to sidebar Skip to footer

Herzschrittmacher Op Wie Lange Krank

Herzschrittmacher Kleiner Eingriff Mit Grosser Wirkung

Herzschrittmacher Kleiner Eingriff Mit Grosser Wirkung

Herzschrittmacher op wie lange krank. Wie lange bin ich krankgeschrieben. Nach der etwa einstündigen Operation werden Sie für weitere 24 Stunden überwacht um frühzeitig Blutungen oder ein Verrutschen der Sonden zu erkennen. Zuvor findet noch eine Kontrolle und gegebenenfalls Nachjustierung des Gerätes statt.

Über 80 neue Produkte zum Festpreis. Das ist das neue eBay. Wie lange Patienten nach einer Herzschrittmacher-Implantation im Krankenhaus bleiben müssen ist von ihrer Gesamtverfassung abhängig.

Der Patient kann meist am Tag der Operation das Krankenhaus wieder verlassen und nach fünf Tagen das erste Mal wieder duschen. Es ist alles wunderbar verheilt. Treten keine Komplikationen auf kann der Patient bereits am Tag nach der Operation nach Hause.

Wie lange Sie nach der Operation im Krankenhaus bleiben richtet. Die meisten Patienten kommen nach der Bypass-Operation für einige Tage auf die Intensivstation. Der Bauch ist in lapar den ersten 2 Wochen nach der Operation etwas dicker.

Folge Deiner Leidenschaft bei eBay. Nach Ablauf von 6 Wochen körperlicher Schonung können Sie Ihr gewohntes Leben wieder aufnehmen. Das ist abhängig davon wie intensiv das Herz mit Impulsen unterstützt werden muss.

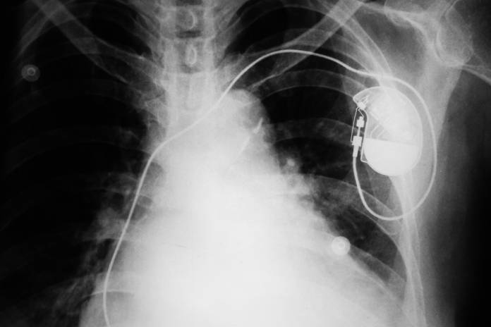
Ich habe vor fast zwei Monaten einen Herzschrittmacher implantiert bekommen. Bei modernen Herzschrittmachern beträgt die Lebensdauer der Batterie zwischen fünf und zehn Jahren. Für den Schrittmachereinbau sind Sie wenn der Eingriff geplant ist in der Regel zwei bis drei Tage im Krankenhaus.

Aber seit drei Tagen ungefähr juckt die narbe schrecklich und die Stelle wo der herzschrittmacher ist auch. Die Antwort liegt irgendwo zwischen einem Tag und mehreren Wochen.

Herzschrittmacher Kleiner Eingriff Mit Grosser Wirkung

Herzschrittmacher Kleiner Eingriff Mit Grosser Wirkung

Herzschrittmacher Op Ablauf Dauer Narkose Und Risiko Dr Stephans

Herzschrittmacher Op Ablauf Dauer Narkose Und Risiko Dr Stephans

Herzschrittmacher Op Wie Lange Bleiben Patienten Im Krankenhaus

Herzschrittmacher Op Wie Lange Bleiben Patienten Im Krankenhaus

Herzschrittmacher Wissen Ablauf Nachsorge Tipps

Herzschrittmacher Wissen Ablauf Nachsorge Tipps

Herzschrittmacher Herzrhythmusstorungen Gesundheitsberater Berlin

Herzschrittmacher Herzrhythmusstorungen Gesundheitsberater Berlin

Schrittmacher Herzschrittmacher Typen Und Funktion

Schrittmacher Herzschrittmacher Typen Und Funktion

Hand Op Notwendigkeit Und Nachsorge

Hand Op Notwendigkeit Und Nachsorge

Herzschrittmacher Erklart Funktion Anwendung Gebrauch Krank De

Herzschrittmacher Erklart Funktion Anwendung Gebrauch Krank De

Gallenblasenentfernung

Gallenblasenentfernung

Herzschrittmacher Und Defibrillatoren Herzstiftung

Herzschrittmacher Und Defibrillatoren Herzstiftung

Herzschrittmacher Erklart Funktion Anwendung Gebrauch Krank De

Herzschrittmacher Erklart Funktion Anwendung Gebrauch Krank De

Herzschrittmacher Op Ablauf Dauer Narkose Und Risiko Dr Stephans

Herzschrittmacher Op Ablauf Dauer Narkose Und Risiko Dr Stephans

Herzschrittmacher Implantation Lebensdauer Verhaltensregeln

Herzschrittmacher Implantation Lebensdauer Verhaltensregeln

Herzklappen Op Ablauf Risiken Und Reha

Herzklappen Op Ablauf Risiken Und Reha

Bypass Am Herzen Wann Wird Er Eingesetzt

Bypass Am Herzen Wann Wird Er Eingesetzt

Prostata Op Verfahren Risiken Und Reha

Prostata Op Verfahren Risiken Und Reha

Wann Ist Ein Herzschrittmacher Notwendig Und Wie Lebt Man Damit

Wann Ist Ein Herzschrittmacher Notwendig Und Wie Lebt Man Damit

Lungen Operation Ursachen Eingriff Reha

Lungen Operation Ursachen Eingriff Reha

Wie Die Seele Das Herz Krank Macht Archiv

Wie Die Seele Das Herz Krank Macht Archiv

Wpgc I Fhb11hm

Wpgc I Fhb11hm

Herzschrittmacher Der Taktgeber Fur Das Herz Apotheken Umschau

Herzschrittmacher Der Taktgeber Fur Das Herz Apotheken Umschau

Herzschrittmacher Grunde Funktion Ablauf Netdoktor

Herzschrittmacher Grunde Funktion Ablauf Netdoktor

Herzklappenoperation Diese Verfahren Gibt Es Herzstiftung

Herzklappenoperation Diese Verfahren Gibt Es Herzstiftung

Https Encrypted Tbn0 Gstatic Com Images Q Tbn And9gct8lpuxfaaycoa4ldnlefmbs51u0o18r6hehdg5hugusqnmoxzs Usqp Cau

Https Encrypted Tbn0 Gstatic Com Images Q Tbn And9gct8lpuxfaaycoa4ldnlefmbs51u0o18r6hehdg5hugusqnmoxzs Usqp Cau

Wie Wird Ein Av Block Behandelt Gesundheitsinformation De

Wie Wird Ein Av Block Behandelt Gesundheitsinformation De

Defibrillator Defi Icd Alle Fragen Alle Antworten

Defibrillator Defi Icd Alle Fragen Alle Antworten

Herztransplantation Gesundheitsberater Berlin

Herztransplantation Gesundheitsberater Berlin

Herzschrittmacher Wie Funktioniert Er Wer Braucht Ihn

Herzschrittmacher Wie Funktioniert Er Wer Braucht Ihn

Schrittmacher Icd Eventrecorder Helios Klinikum Pirna Erklart Zum Vortragsnach Mittag Wie Moderne Technik Kranken Herzen Helfen Kann

Schrittmacher Icd Eventrecorder Helios Klinikum Pirna Erklart Zum Vortragsnach Mittag Wie Moderne Technik Kranken Herzen Helfen Kann

Sicher Krank It Sicherheit Im Gesundheitsweisen Infodas

Sicher Krank It Sicherheit Im Gesundheitsweisen Infodas

Herztransplantation Gesundheitsberater Berlin

Herztransplantation Gesundheitsberater Berlin

Was Darf Ein Patient Mit Herzschrittmacher Tun Klinik Via Medici

Was Darf Ein Patient Mit Herzschrittmacher Tun Klinik Via Medici

Schlauchmagen Das Mittel Zur Effizienten Gewichtsreduktion

Schlauchmagen Das Mittel Zur Effizienten Gewichtsreduktion

Brustimplantate Konnen Krank Machen Aponet De

Brustimplantate Konnen Krank Machen Aponet De

Chirurgie Nach Der Op Wer Lange Liegt Bleibt Krank Gesundheit Sz De

Chirurgie Nach Der Op Wer Lange Liegt Bleibt Krank Gesundheit Sz De

Chirurgie Nach Der Op Wer Lange Liegt Bleibt Krank Gesundheit Sz De

Chirurgie Nach Der Op Wer Lange Liegt Bleibt Krank Gesundheit Sz De

Herzschrittmacher Op Wie Lange Bleiben Patienten Im Krankenhaus

Herzschrittmacher Op Wie Lange Bleiben Patienten Im Krankenhaus

Ambulant Operieren Teil 3 Hand Op Lohnt Auch Im Alter Freie Presse Special26

Ambulant Operieren Teil 3 Hand Op Lohnt Auch Im Alter Freie Presse Special26

Nabelbruch

Nabelbruch

Herzschrittmacher

Herzschrittmacher

Herzschrittmacher

Herzschrittmacher

Herzschrittmacher Op Ein Routine Eingriff Herzstiftung

Herzschrittmacher Op Ein Routine Eingriff Herzstiftung

Kaiserschnitt Kinder Ofter Krank

Kaiserschnitt Kinder Ofter Krank

Herzschrittmacher Funktion Op Ratgeber Herzinsuffizienz

Herzschrittmacher Funktion Op Ratgeber Herzinsuffizienz

Herzkatheter Gesundheitsberater Berlin

Herzkatheter Gesundheitsberater Berlin

Herzschrittmacher Op So Funktioniert S Chip

Herzschrittmacher Op So Funktioniert S Chip

Im Maria Hilf Wurde Der Erste Kabellose Herzschrittmacher Eingesetzt

Im Maria Hilf Wurde Der Erste Kabellose Herzschrittmacher Eingesetzt

Welche Regeln Gelten Zum Verhalten Nach Herzschrittmacher Op

Welche Regeln Gelten Zum Verhalten Nach Herzschrittmacher Op

Herzschrittmacher So Lauft Die Op Ab

Herzschrittmacher So Lauft Die Op Ab

Aber seit drei Tagen ungefähr juckt die narbe schrecklich und die Stelle wo der herzschrittmacher ist auch.

Bis alles verheilt ist dauert es meist 10 bis 14 Tage so dass die Krankschreibung oft für zwei Wochen ausgestellt wird. Alles rund um das Thema Herzschrittmacher Operation wie Lange Krank auf gesundheits-fragede. Das ist abhängig davon wie intensiv das Herz mit Impulsen unterstützt werden muss. Bei körperlicher Belastung bis zu 14 Tage erforderlich bzw. Häufig hat man nach einer Bauchoperation vor allem wenn sie laparoskopisch Bauchspiegelungsoperation durchgeführt wurde in den ersten Tagen Verstopfung. Nach Ablauf von 6 Wochen körperlicher Schonung können Sie Ihr gewohntes Leben wieder aufnehmen. Sie dauert in der Regel zwischen einer halben und einer ganzen Stunde Herzschrittmacher-OP. Es ist alles wunderbar verheilt. Nach einer Darmoperatinon Teil des Darms entfernt bin ich jetzt seit 4 Monaten krank geschriebenIch habe auf raten des Arztes eine Kur beantragt Gutachten gemacht abgelehnt Einspruch eingelegt nun soll nochmal ein Gutachten erstellt werdenDie Rentenversicherung sagt der Termin.


Bis alles verheilt ist dauert es meist 10 bis 14 Tage so dass die Krankschreibung oft für zwei Wochen ausgestellt wird. Die neuen Herzschrittmacher die mit einer Lithium -Batterie ausgestattet sind haben eine Lebensdauer von 6-10 Jahren. Abhängig von Modell und der Nutzungshäufigkeit. Der Bauch ist in lapar den ersten 2 Wochen nach der Operation etwas dicker. Bis alles verheilt ist dauert es meist 10 bis 14 Tage so dass die Krankschreibung oft für zwei Wochen ausgestellt wird. Hier finden Sie aktuelle Beiträge und interessante Informationen zum Thema Herzschrittmacher Operation wie Lange Krank von erfahrenen Autoren zusammengestellt und veröffentlicht. Häufig hat man nach einer Bauchoperation vor allem wenn sie laparoskopisch Bauchspiegelungsoperation durchgeführt wurde in den ersten Tagen Verstopfung.

Post a Comment for "Herzschrittmacher Op Wie Lange Krank"