Skip to content Skip to sidebar Skip to footer

Halsschmerzen Schluckbeschwerden Grüner Schleim

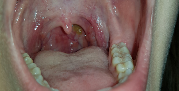
Was Ist Der Gelbliche Schleim Im Rachen Gesundheit Und Medizin Rachenentzundung

Was Ist Der Gelbliche Schleim Im Rachen Gesundheit Und Medizin Rachenentzundung

Halsschmerzen schluckbeschwerden grüner schleim. Bei Halsschmerzen mit Schluckbeschwerden kann es sich aber auch ursächlich um eine Mittelohrentzündung handeln. Das zähe Sekret lässt sich häufig mit natürlichen Hausmitteln loswerden. Schleim im Hals ist normal und gut da er uns vor Erregern schützt.

Gegen Allergien auf Tierhaare oder Hausstaubmilben kann man sich leider schlecht wehren -. Schluckbeschwerden Globusgefühl ständig verschleimt ständiges Räuspern Schluckbeschwerden sind in vielen Fällen relativ harmlos beispielsweise wenn akute Halsschmerzen im Rahmen einer Erkältung für das Kloßgefühl im Hals verantwortlich sind. Betroffene beschreiben oft einen verstärkten grünen Auswurf morgens dieser entsteht durch eine vermehrte nächtliche Schleimproduktion die am nächsten Morgen abgehustet wird.

Halsschmerzen Husten und Schnupfen gehen meist mit Schluckbeschwerden und Schleim im Hals einher. Im folgenden Artikel sollen medizinische Fakten biologische Zusammenhänge und Tipps näher behandelt werden. Typische Symptome einer Erkältung die auch bei einer Nasennebenhöhlenentzündung auftreten können sind.

Erstes Anzeichen einer Rachenentzündung ist oft das typische Kratzen im Hals. Das Gefühl von Schleim im Hals ist hierbei nur ein weiterer lästiger Nebeneffekt. Bei einer Erkältung oder Grippe Influenza sind Halsschmerzen und grüner Auswurf häufige Begleiterscheinungen.

Halsschmerzen sind ein Symptom verschiedenster Krankheitsbilder häufig jedoch treten sie im Zusammenhang mit einer einfachen Erkältung grippaler Infekt auf. Der Rachen fühlt sich rau und trocken an oft haben die Betroffenen das Gefühl sich räuspern oder hüsteln zu müssen. Zu diesen Symptomen gehört eben dieser postnasal drip der Schleim im Rachen der auch zu Reizhusten Kloßgefühl und Räusperzwang führen kann.

Erkältungssymptome die den Symptomen einer Nasennebenhöhlenentzündung ähnlich sind. Erst bei SchluckbeschwerdenSchmerzen und eitrigen Belägen auf den Schleimhäuten sollte sicherheitshalber ein Arzt aufgesucht werden rät Dr. Halsschmerzen und grüner Auswurf.

Da die Schmerzen einer Mittelohrentzündung auch in den Hals- und Nackenbereich ausstrahlen und Schmerzen beim Schlucken verursachen können können diese vom Patienten als Halsschmerzen fehlgedeutet werden. In der Folge entwickeln sich Halsschmerzen die manchmal bis in die Ohren ausstrahlen und zu schmerzhaften Schluckbeschwerden führen.

Gruner Schleim Lauft Den Rachen Runter Ohne Erkaltung Gesundheit Und Medizin

Gruner Schleim Lauft Den Rachen Runter Ohne Erkaltung Gesundheit Und Medizin

Kehlkopfentzundung Symptome Erkennen Und Behandeln Gesundheit De

Kehlkopfentzundung Symptome Erkennen Und Behandeln Gesundheit De

Ich Habe Halsschmezen Mit Komischen Grunen Schleim Hinten Im Rachen Bei Den Atemwegen Ist Der Schleim Die Ursache Fur Die Halsschmerzen

Ich Habe Halsschmezen Mit Komischen Grunen Schleim Hinten Im Rachen Bei Den Atemwegen Ist Der Schleim Die Ursache Fur Die Halsschmerzen

Verschleppte Bronchitis Diese Symptome Sollten Sie Kennen

Verschleppte Bronchitis Diese Symptome Sollten Sie Kennen

Kehlkopfentzundung Symptome Erkennen Und Behandeln Gesundheit De

Kehlkopfentzundung Symptome Erkennen Und Behandeln Gesundheit De

Dobendan Direkt Bei Halsschmerzen Schluckbeschwerden 24 Stk

Dobendan Direkt Bei Halsschmerzen Schluckbeschwerden 24 Stk

Halsschmerzen Was Dahintersteckt Was Hilft Apotheken Umschau

Halsschmerzen Was Dahintersteckt Was Hilft Apotheken Umschau

Rachenentzundung Symptome Verlauf Und Behandlung Minimed At

Rachenentzundung Symptome Verlauf Und Behandlung Minimed At

Halsschmerzen Hilfe Aus Dem Heilpflanzengarten Klosterfrau

Halsschmerzen Hilfe Aus Dem Heilpflanzengarten Klosterfrau

Husten Gruner Schleim Halsschmerzen Med Fakten Zusammenhang Tipps

Husten Gruner Schleim Halsschmerzen Med Fakten Zusammenhang Tipps

Halsschmerzen Und Gruner Auswurf Med Fakten Zusammenhang Tipps

Halsschmerzen Und Gruner Auswurf Med Fakten Zusammenhang Tipps

Rachenentzundung Rachenschmerzen Anzeichen Gelorevoice

Rachenentzundung Rachenschmerzen Anzeichen Gelorevoice

Dolo Dobendan Halsschmerztabletten Bei Starken Halsschmerzen Dobendan

Dolo Dobendan Halsschmerztabletten Bei Starken Halsschmerzen Dobendan

Halsschmerzen Ohne Husten Ursachen Behandlung

Halsschmerzen Ohne Husten Ursachen Behandlung

Schleim Im Hals Was Jetzt Wirklich Hilft

Schleim Im Hals Was Jetzt Wirklich Hilft

Basiswissen Erkaltung Was Tun Wenn Die Nase Lauft Und Der Hals Kratzt

Basiswissen Erkaltung Was Tun Wenn Die Nase Lauft Und Der Hals Kratzt

Rachenentzundung Pharyngitis Symptome Therapie Netdoktor

Rachenentzundung Pharyngitis Symptome Therapie Netdoktor

Die Besten Hausmittel Gegen Halsschmerzen

Die Besten Hausmittel Gegen Halsschmerzen

Halsschmerzen Ursache Tipps Hausmittel Pascoe

Halsschmerzen Ursache Tipps Hausmittel Pascoe

Einseitige Halsschmerzen Diese Krankheiten Stecken Dahinter Bildderfrau De

Einseitige Halsschmerzen Diese Krankheiten Stecken Dahinter Bildderfrau De

Wirksame Hausmittel Gegen Halsschmerzen Heilpraxis

Wirksame Hausmittel Gegen Halsschmerzen Heilpraxis

Starke Halsschmerzen Ohne Fieber Diagnose Hilfe

Starke Halsschmerzen Ohne Fieber Diagnose Hilfe

Bei Grunen Schleim Antibiotika Notig Gesundheit Medizin Arzt

Bei Grunen Schleim Antibiotika Notig Gesundheit Medizin Arzt

3

3

Halsschmerzen Woher Kommen Sie Und Was Hilft Ratiopharm Arzneimittel Vertriebs Gmbh 11 12 2017

Halsschmerzen Woher Kommen Sie Und Was Hilft Ratiopharm Arzneimittel Vertriebs Gmbh 11 12 2017

Halsschmerzen Ohne Mandeln Geht Das Bionorica

Halsschmerzen Ohne Mandeln Geht Das Bionorica

25 Hausmittel Gegen Halsschmerzen Die Wirklich Wirken Wiado De

25 Hausmittel Gegen Halsschmerzen Die Wirklich Wirken Wiado De

Halsschmerzen Ursachen Behandlung Hilfe Medlexi De

Halsschmerzen Ursachen Behandlung Hilfe Medlexi De

Schleim Im Hals So Werden Sie Ihn Los Stern De

Schleim Im Hals So Werden Sie Ihn Los Stern De

Rachenentzundung Bilder Dauer Symptome Therapien

Rachenentzundung Bilder Dauer Symptome Therapien

Blutiger Auswurf Bei Halsschmerzen Und Schluckbeschwerden

Blutiger Auswurf Bei Halsschmerzen Und Schluckbeschwerden

Coronavirus Grippe Oder Erkaltung Wie Erkenne Ich Den Unterschied Wissen Umwelt Dw 10 10 2020

Coronavirus Grippe Oder Erkaltung Wie Erkenne Ich Den Unterschied Wissen Umwelt Dw 10 10 2020

Halsschmerzen Was Dahintersteckt Was Hilft Apotheken Umschau

Halsschmerzen Was Dahintersteckt Was Hilft Apotheken Umschau

Halsschmerzen Kratzen Im Hals Als Erstes Anzeichen Einer Erkrankung

Halsschmerzen Kratzen Im Hals Als Erstes Anzeichen Einer Erkrankung

Gruner Schleim Beim Husten Was Bedeutet Das Praxisvita De

Gruner Schleim Beim Husten Was Bedeutet Das Praxisvita De

Halsschmerzen Was Dahintersteckt Was Hilft Apotheken Umschau

Halsschmerzen Was Dahintersteckt Was Hilft Apotheken Umschau

Rachenentzundung Rachenschmerzen Anzeichen Gelorevoice

Rachenentzundung Rachenschmerzen Anzeichen Gelorevoice

Halsschmerzen Ursache Tipps Hausmittel Pascoe

Halsschmerzen Ursache Tipps Hausmittel Pascoe

Halsschmerzen Hilfeeeeeee Gesundheit Und Medizin Krank Hausmittel

Halsschmerzen Hilfeeeeeee Gesundheit Und Medizin Krank Hausmittel

Husten Mit Auswurf Was Hat Gruner Oder Gelber Schleim Zu Bedeuten

Husten Mit Auswurf Was Hat Gruner Oder Gelber Schleim Zu Bedeuten

Die Besten Hausmittel Gegen Halsschmerzen

Die Besten Hausmittel Gegen Halsschmerzen

Husten Mit Auswurf Was Hat Gruner Oder Gelber Schleim Zu Bedeuten

Husten Mit Auswurf Was Hat Gruner Oder Gelber Schleim Zu Bedeuten

Rachenentzundung Rachenschmerzen Anzeichen Gelorevoice

Rachenentzundung Rachenschmerzen Anzeichen Gelorevoice

Halsschmerzen Was Tun Hausmittel Tipps Frag Mutti

Halsschmerzen Was Tun Hausmittel Tipps Frag Mutti

Halsschmerzen Durch Reflux Und Ohne Erkaltung Refluxgate

Halsschmerzen Durch Reflux Und Ohne Erkaltung Refluxgate

Bronchitis Symptome Dauer Ursachen Erkaltungsratgeber

Bronchitis Symptome Dauer Ursachen Erkaltungsratgeber

Eitrige Mandeln Was Tun Bei Halsschmerzen Mandelentzundung Hausmittel Schluckbeschwerden Schmerz

Eitrige Mandeln Was Tun Bei Halsschmerzen Mandelentzundung Hausmittel Schluckbeschwerden Schmerz

Halsschmerzen Was Dahintersteckt Was Hilft Apotheken Umschau

Halsschmerzen Was Dahintersteckt Was Hilft Apotheken Umschau

Https Encrypted Tbn0 Gstatic Com Images Q Tbn And9gcrk086a Vml9tgmtbny2jsvurdrlqlsvs Bdqdhatg6azvvv3gs Usqp Cau

Https Encrypted Tbn0 Gstatic Com Images Q Tbn And9gcrk086a Vml9tgmtbny2jsvurdrlqlsvs Bdqdhatg6azvvv3gs Usqp Cau

Halsschmerzen sind ein Symptom verschiedenster Krankheitsbilder häufig jedoch treten sie im Zusammenhang mit einer einfachen Erkältung grippaler Infekt auf.

Typische Symptome einer Erkältung die auch bei einer Nasennebenhöhlenentzündung auftreten können sind. Begleiterscheinungen Schluck- Halsschmerzen blutiger Schleim Adam Gregor - Fotolia Im Rahmen einer Erkältung oder einer Grippe kommt es des Öfteren zu Schluckbeschwerden akute Dysphagie und Halsschmerzen welche auch von leichten Blutungen begleitet sein können. Betroffene beschreiben oft einen verstärkten grünen Auswurf morgens dieser entsteht durch eine vermehrte nächtliche Schleimproduktion die am nächsten Morgen abgehustet wird. Erst bei SchluckbeschwerdenSchmerzen und eitrigen Belägen auf den Schleimhäuten sollte sicherheitshalber ein Arzt aufgesucht werden rät Dr. Halsschmerzen sind ein Symptom verschiedenster Krankheitsbilder häufig jedoch treten sie im Zusammenhang mit einer einfachen Erkältung grippaler Infekt auf. Der Rachen fühlt sich rau und trocken an oft haben die Betroffenen das Gefühl sich räuspern oder hüsteln zu müssen. Halsschmerzen Husten und Schnupfen gehen meist mit Schluckbeschwerden und Schleim im Hals einher. Zu diesen Symptomen gehört eben dieser postnasal drip der Schleim im Rachen der auch zu Reizhusten Kloßgefühl und Räusperzwang führen kann. Da die Schmerzen einer Mittelohrentzündung auch in den Hals- und Nackenbereich ausstrahlen und Schmerzen beim Schlucken verursachen können können diese vom Patienten als Halsschmerzen fehlgedeutet werden.


Halsschmerzen Husten und Schnupfen gehen meist mit Schluckbeschwerden und Schleim im Hals einher. Typische Symptome einer Erkältung die auch bei einer Nasennebenhöhlenentzündung auftreten können sind. Gegen Allergien auf Tierhaare oder Hausstaubmilben kann man sich leider schlecht wehren -. Bei einer Erkältung oder Grippe Influenza sind Halsschmerzen und grüner Auswurf häufige Begleiterscheinungen. Der Rachen fühlt sich rau und trocken an oft haben die Betroffenen das Gefühl sich räuspern oder hüsteln zu müssen. Halsschmerzen und grüner Auswurf. Da die Schmerzen einer Mittelohrentzündung auch in den Hals- und Nackenbereich ausstrahlen und Schmerzen beim Schlucken verursachen können können diese vom Patienten als Halsschmerzen fehlgedeutet werden.

Post a Comment for "Halsschmerzen Schluckbeschwerden Grüner Schleim"