Skip to content Skip to sidebar Skip to footer

Röntgenbild Schwarzer Fleck Knochen

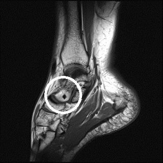
Mrt Aufnahme Vom Sprungelenk Schwarzer Fleck Im Knochen Was Kann Das Sein Sprunggelenk

Mrt Aufnahme Vom Sprungelenk Schwarzer Fleck Im Knochen Was Kann Das Sein Sprunggelenk

Röntgenbild schwarzer fleck knochen. Ein Röntgenbild für einen Laien nicht sehr einfach zu interpretieren. Hilfe Röntgenbild schwarzer punkt knochen Ich denke als Laie kann man keine Röngenbilder beurteilenDieser Fleck ist möglicherweise ganz anders zu interpretieren als Sie das jetzt tunIch würde mir dazu keine Gedanken machenzumal Ihre Beschwerden ja auch an ganz anderer Stelle gelagert sindOb das ein Bildfehler ist wage ich zu. Dort lassen sich entsprechende Signalveränderungen feststellen - im abgebildeten MRT zeigen sich im schwarzen Knochen weiße Flecken als Zeichen einer Flüssigkeitseinlagerung.

Die Knochen sind jene Körpergewebe welche diese Strahlen am stärksten abschwächen. Bei Knochenkrebs Aufnahme erscheint die Stelle die der Tumor zerfressen hat aber dunkel. Hilfe Röntgenbild schwarzer punkt knochen Ich denke als Laie kann man keine Röngenbilder beurteilenDieser Fleck ist möglicherweise ganz anders zu interpretieren als Sie das jetzt tunIch würde mir dazu keine Gedanken machenzumal Ihre Beschwerden ja auch an ganz anderer Stelle gelagert sindOb das ein Bildfehler ist wage ich zu bezweifelndas wird sich wohl so gehörenAber.

War vorher bzw heute morgen beim Orthopäden und habe mich wegen meiner Muskelentzündung röntgen lassen. Der große schwarze Fleck im Bereich des Magens ist am ehesten die Luft im Magen. Mein Orthopäde konnte sich auch nicht wirklich erklären was das ist.

Diese steigt nach oben und ist dann unterhalb der linken Zwerchfellkuppel als sehr röntgendurchlässig zu sehen. Leukoplasien handelt erkennt man Veränderungen im Knochen oftmals erst auf einem Röntgenbild. Ist das ein Bluterguss.

Aufgefallen ist ein kleiner weißer fast durchsichtiger fleck auf der rechten Seite außen neben den Rippen. Hatte letztes Jahr schon einen Kreuzbandriss der aber operiert wurde. Luft- oder gasgefüllte Organe wie Lunge oder Magen schwächen die Strahlung nur wenig.

Röntgenbilder und Ultraschall können ein Knochenmarködem BME bone marrow edema nicht darstellen. Wir hoffen wir konnten Ihnen weiterhelfen - Ihr Lifeline Gesundheitsteam. Weiche Gewebe wie Fett und Muskeln lassen fast die ganze Strahlung durch sie sehen im Röntgenbild schwarz aus.

Wegen ihrer Dichte fangen Knochen fast die ganze Röntgenstrahlung auf sie sind daher deutlich als weiße oder graue Konturen auf dem Röntgenbild zu erkennen. Hyperdensität oder einen schwarzen Fleck eine Osteolyse sehen.

Rontgen Bilder Von Patienten Selbst Diagnose Stellen Wie Ein Arzt Der Spiegel

Rontgen Bilder Von Patienten Selbst Diagnose Stellen Wie Ein Arzt Der Spiegel

Fleck Auf Rontgenbild Gesundheit Und Medizin Gesundheit

Fleck Auf Rontgenbild Gesundheit Und Medizin Gesundheit

Bildgebende Verfahren Rontgen Ct Und Mrt Kenhub

Bildgebende Verfahren Rontgen Ct Und Mrt Kenhub

Rontgen Fleckige Knochenbereiche Cyberdoktor Patientenberatung

Rontgen Fleckige Knochenbereiche Cyberdoktor Patientenberatung

Wolfgang G H Schmitt De Bilder 4 Huftgelenk Und Oberschenkel 18 22b

Wolfgang G H Schmitt De Bilder 4 Huftgelenk Und Oberschenkel 18 22b

Mrt Auswertung Knie Versus Rontgen Sportklinik Vs Orthopadie Linkes Auml Ngsschnitt 2017 09 12 Seitenansicht Mittlerer Entz Uuml Ndung Als Dunkler Fleck Hint

Mrt Auswertung Knie Versus Rontgen Sportklinik Vs Orthopadie Linkes Auml Ngsschnitt 2017 09 12 Seitenansicht Mittlerer Entz Uuml Ndung Als Dunkler Fleck Hint

Rontgen Bilder Von Patienten Selbst Diagnose Stellen Wie Ein Arzt Der Spiegel

Rontgen Bilder Von Patienten Selbst Diagnose Stellen Wie Ein Arzt Der Spiegel

Begegnung Rontgenbild Von Schadel Und Halswirbelsaule Trifft Auf Einen Menschlichen Schadel Ein Lizenzfreies Stock Foto Von Photocase

Begegnung Rontgenbild Von Schadel Und Halswirbelsaule Trifft Auf Einen Menschlichen Schadel Ein Lizenzfreies Stock Foto Von Photocase

Lungenkrebs Ist Rontgen Screening Fur Raucher Sinnvoll Welt

Lungenkrebs Ist Rontgen Screening Fur Raucher Sinnvoll Welt

Rontgen Focus Arztsuche

Rontgen Focus Arztsuche

Knochenmetastase Wikipedia

Knochenmetastase Wikipedia

Rontgendiagnostik

Rontgendiagnostik

Wurzelkanalbehandlung Dr Verch Priv Doz Dr Kanerdr Verch Priv Doz Dr Kaner

Wurzelkanalbehandlung Dr Verch Priv Doz Dr Kanerdr Verch Priv Doz Dr Kaner

Tumoren Der Schulter

Tumoren Der Schulter

Knochendurchblutungsstorungen Ursachen Diagnose Therapien Orthinform

Knochendurchblutungsstorungen Ursachen Diagnose Therapien Orthinform

Knochenmarkodem Orthopadische Chirurgie Bayreuth

Knochenmarkodem Orthopadische Chirurgie Bayreuth

Lungenkrebs Ist Rontgen Screening Fur Raucher Sinnvoll Welt

Lungenkrebs Ist Rontgen Screening Fur Raucher Sinnvoll Welt

Diagnose Der Schambeinentzundung Kernspintomographie Rontgen Szintigraphie Differentialdiagnose Schambeinentzuendung De

Diagnose Der Schambeinentzundung Kernspintomographie Rontgen Szintigraphie Differentialdiagnose Schambeinentzuendung De

Radiologische Untersuchung Des Huftgelenks Springerlink

Radiologische Untersuchung Des Huftgelenks Springerlink

Rontgendiagnostik

Rontgendiagnostik

Rontgen Thorax Lunge Grunde Ablauf Bilder Praktischarzt

Rontgen Thorax Lunge Grunde Ablauf Bilder Praktischarzt

Unschlagbar Die Ganzkorper Mrt Bei Knochenmetastasen Healthcare In Europe Com

Unschlagbar Die Ganzkorper Mrt Bei Knochenmetastasen Healthcare In Europe Com

Osteosarkom Knochenkrebs Beim Hund Symptome Behandlung Und

Osteosarkom Knochenkrebs Beim Hund Symptome Behandlung Und

Https Encrypted Tbn0 Gstatic Com Images Q Tbn And9gcrwtypgeitdu8trjr21xjhaltj41paqg8dh6avotsnzgq2pudra Usqp Cau

Https Encrypted Tbn0 Gstatic Com Images Q Tbn And9gcrwtypgeitdu8trjr21xjhaltj41paqg8dh6avotsnzgq2pudra Usqp Cau

Multiples Myelom Plasmozytom Apotheken Umschau

Multiples Myelom Plasmozytom Apotheken Umschau

Rontgen Focus Arztsuche

Rontgen Focus Arztsuche

Tumoren Der Schulter

Tumoren Der Schulter

Knochenmetastase Wikipedia

Knochenmetastase Wikipedia

Diagnose Von Lungenkrebs Dkg

Diagnose Von Lungenkrebs Dkg

Rontgen Die Strahlenkanone Kehrt Das Innerste Nach Aussen Stern De

Rontgen Die Strahlenkanone Kehrt Das Innerste Nach Aussen Stern De

Wurzelkanalbehandlung Dr Verch Priv Doz Dr Kanerdr Verch Priv Doz Dr Kaner

Wurzelkanalbehandlung Dr Verch Priv Doz Dr Kanerdr Verch Priv Doz Dr Kaner

Bayerisches Arzteblatt

Bayerisches Arzteblatt

Internistische Diagnostik Anamnese Labor Und Bildgebung Springermedizin De

Internistische Diagnostik Anamnese Labor Und Bildgebung Springermedizin De

Osteochondrose Im Sprunggelenk Gelenk Klinik De

Osteochondrose Im Sprunggelenk Gelenk Klinik De

Wirbelsaulenmetastasen Konnen Sich Mit Nachtlichen Schmerzen Bemerkbar Machen Medical Tribune

Wirbelsaulenmetastasen Konnen Sich Mit Nachtlichen Schmerzen Bemerkbar Machen Medical Tribune

Morbus Incognitus Knochenmark Healthcare In Europe Com

Morbus Incognitus Knochenmark Healthcare In Europe Com

Rontgen Bilder Von Patienten Selbst Diagnose Stellen Wie Ein Arzt Der Spiegel

Rontgen Bilder Von Patienten Selbst Diagnose Stellen Wie Ein Arzt Der Spiegel

Haufige Fehlerquellen Beim Rontgen Fachgebiete Zmk Aktuell De

Haufige Fehlerquellen Beim Rontgen Fachgebiete Zmk Aktuell De

Mrt Der Nieren Bei Unklaren Raumforderungen Radiologie Darmstadt

Mrt Der Nieren Bei Unklaren Raumforderungen Radiologie Darmstadt

Wurzelkanalbehandlung Dr Verch Priv Doz Dr Kanerdr Verch Priv Doz Dr Kaner

Wurzelkanalbehandlung Dr Verch Priv Doz Dr Kanerdr Verch Priv Doz Dr Kaner

Mrt Auswertung Knie Versus Rontgen Sportklinik Vs Orthopadie

Mrt Auswertung Knie Versus Rontgen Sportklinik Vs Orthopadie

Spinale Tumoren Tumoren An Der Wirbelsaule Schulthess Klinik

Spinale Tumoren Tumoren An Der Wirbelsaule Schulthess Klinik

Unschlagbar Die Ganzkorper Mrt Bei Knochenmetastasen Healthcare In Europe Com

Unschlagbar Die Ganzkorper Mrt Bei Knochenmetastasen Healthcare In Europe Com

Frage Zu Einem Rontgen Bild Kopf Ct Schadel

Frage Zu Einem Rontgen Bild Kopf Ct Schadel

Kleine Knochenkunde Wie Erkenne Ich Eine Fraktur Klinik Via Medici

Kleine Knochenkunde Wie Erkenne Ich Eine Fraktur Klinik Via Medici

Bildgebende Verfahren Rontgen Ct Und Mrt Kenhub

Bildgebende Verfahren Rontgen Ct Und Mrt Kenhub

Fleck Auf Der Lunge Diese Krankheiten Konnen Dahinterstecken

Fleck Auf Der Lunge Diese Krankheiten Konnen Dahinterstecken

Fallbeispiele Zur Rontgendiagnostik Endodontie Dr Eggert

Fallbeispiele Zur Rontgendiagnostik Endodontie Dr Eggert

Https Encrypted Tbn0 Gstatic Com Images Q Tbn And9gctwg Tr4ouulo6kfttzf3 Do88an H6quwiinsbimns9tqxsdzr Usqp Cau

Https Encrypted Tbn0 Gstatic Com Images Q Tbn And9gctwg Tr4ouulo6kfttzf3 Do88an H6quwiinsbimns9tqxsdzr Usqp Cau

Mein Orthopäde konnte sich auch nicht wirklich erklären was das ist.

Wir hoffen wir konnten Ihnen weiterhelfen - Ihr Lifeline Gesundheitsteam. Hilfe Röntgenbild schwarzer punkt knochen Ich denke als Laie kann man keine Röngenbilder beurteilenDieser Fleck ist möglicherweise ganz anders zu interpretieren als Sie das jetzt tunIch würde mir dazu keine Gedanken machenzumal Ihre Beschwerden ja auch an ganz anderer Stelle gelagert sindOb das ein Bildfehler ist wage ich zu bezweifelndas wird sich wohl so gehörenAber. Die Diagnose erfolgt durch eine Kernspintomographie MRT. Röntgenbilder und Ultraschall können ein Knochenmarködem BME bone marrow edema nicht darstellen. Röntgenbilder und Ultraschall können ein Knochenmarködem BME bone marrow edema nicht darstellen. Wir hoffen wir konnten Ihnen weiterhelfen - Ihr Lifeline Gesundheitsteam. Die Geräte werden meist zur Beurteilung von Herz und Lunge Knochen und Gelenken eingesetzt. Diese steigt nach oben und ist dann unterhalb der linken Zwerchfellkuppel als sehr röntgendurchlässig zu sehen. Ein Röntgenbild für einen Laien nicht sehr einfach zu interpretieren.


Ein Röntgenbild für einen Laien nicht sehr einfach zu interpretieren. Mein Orthopäde konnte sich auch nicht wirklich erklären was das ist. Diese steigt nach oben und ist dann unterhalb der linken Zwerchfellkuppel als sehr röntgendurchlässig zu sehen. Dort lassen sich entsprechende Signalveränderungen feststellen - im abgebildeten MRT zeigen sich im schwarzen Knochen weiße Flecken als Zeichen einer Flüssigkeitseinlagerung. Eine dunkle Stelle auf der Aufnahme sagt zunächst nur aus dass der Knochen hier die Röntgenstrahlen leichter hindurch lässt also das Gewebe nicht so dicht ist. Die Diagnose erfolgt durch eine Kernspintomographie MRT. Auf dem Röntgenbild sind weiße Flecken oben rechts im rundlichen Knochen denke Mal dass das das Ende des Oberarms ist zu sehen.

Post a Comment for "Röntgenbild Schwarzer Fleck Knochen"